Zonele în care se plasează implanturi imediat după extracție sunt printre cele mai sensibile din punct de vedere biologic, mai ales în regiunea estetică. Vindecarea țesuturilor depinde de modul în care este manipulat lamboul, de geometria implantului, stabilitatea primară, dar și felul în care sunt gestionate restaurările provizorii în primele săptămâni. Fiecare dintre aceste elemente contribuie la felul în care gingia se va adapta și, mai ales, la predictibilitatea rezultatului pe termen lung. Literatura clinică subliniază faptul că remodelarea țesutului după extracție este un proces dinamic încă din primele ore, iar implantarea imediată introduce în acest proces o provocare suplimentară: necesitatea de a crea un mediu stabil pentru un țesut aflat în transformare continuă.
În cazul implanturilor imediate, gingia vestibulară poate avea tendința de a-și pierde suportul într-un ritm mai accelerat, iar conturul papilelor devine vulnerabil la cea mai mică variație de presiune sau volum. De aceea, modul în care clinicianul construiește restaurarea inițială are un impact vizibil asupra evoluției arhitecturii gingivale. Studiile publicate în reviste de specialitate arată că provizoriile personalizate pot influența în mod pozitiv profilul de emergență, facilitând adaptarea treptată a țesuturilor și reducând riscurile de recesiune. În același timp, reiese clar că un design necorespunzător poate produce inflamație, compresii excesive sau colaps tisular, efecte care devin greu de corectat ulterior.
Pentru medicii care lucrează în zonele frontale, fiecare detaliu devine parte din stabilitatea finală a conturului gingival. Modul în care este gândită restaurarea provizorie, felul în care se așază țesutul moale și poziționarea implantului influențează direct armonia rezultatului, iar coerența acestor etape face diferența în zona estetică.
În următoarele rânduri analizăm ce rol au restaurările provizorii în contextul implantologiei imediate, pe baza datelor publicate în literatura recentă. Vom explora modul în care se vindecă țesutul moale, felul în care restaurările provizorii pot stabiliza conturul gingival și strategiile prin care se poate ghida vindecarea într-o direcție predictibilă.
Biologia țesutului moale în implantologia imediată
Din momentul în care dintele este extras, spațiul alveolar intră într-o etapă intensă de remodelare. Țesutul moale își schimbă volumul și consistența încă din primele zile, iar echilibrul dintre lambou, os și viitoarea zonă de emergență a implantului se reconfigurează continuu. Atunci când implantul este inserat imediat, această dinamică naturală trebuie să se adapteze prezenței unui corp străin, iar sensibilitatea gingiei vestibulare și a papilelor la modificările de suport devine un element central în evoluția cazului.
Literatura dedicată implantării imediate arată că gingia începe să răspundă la forma restaurării provizorii încă din primele zile, iar acest răspuns timpuriu influențează stabilitatea conturului marginal. Studiile clinice descriu o evoluție progresivă a țesutului moale, cu o stabilizare vizibilă în aproximativ două săptămâni, interval în care profilul de emergență personalizat ghidează treptat forma finală a gingiei. În această perioadă, geometria provizoriului capătă un rol decisiv, pentru că orice discrepanță în conturul cervical poate irita țesutul marginal și poate influența estetica ulterioară.
Restaurările provizorii individualizate permit controlul precis al volumului și al tranziției, facilitând o integrare armonioasă a gingiei în jurul implantului și pregătind zona pentru ajustări progresive sau, atunci când condițiile clinice sunt favorabile, pentru amprentarea finală. Această etapă reprezintă un moment-cheie, pentru că forma provizoriului devine un reper biologic pentru felul în care se va organiza țesutul periimplantar.
Raportul dintre implant și profilul de emergență rămâne un factor determinant în obținerea unui rezultat predictibil. Forma și tranziția restaurării influențează felul în care gingia se așază în jurul implantului, iar înțelegerea acestor mecanisme permite clinicianului să dezvolte un protocol care menține stabilitatea conturului marginal în contextul implantologiei imediate.

sursa foto: PMC3259239
Rolul restaurărilor provizorii în menținerea țesutului moale
Restaurările provizorii au un rol mult mai complex în implantarea imediată decât simpla protejare a implantului. Forma lor modelează felul în care se așază gingia, iar modul în care este construit profilul de emergență influențează direct stabilitatea țesuturilor în primele săptămâni. În această etapă, gingia reacționează vizibil la volumul și tranziția dintre implant și provizoriu, iar adaptarea treptată a conturului marginal devine esențială pentru rezultatul final.
Cercetările dedicate implantologiei imediate arată că restaurările provizorii personalizate reușesc să creeze o relație mult mai naturală între emergență și țesutul moale. Conturul este ajustat într-un mod progresiv, iar distribuția presiunii în zona cervicală rămâne sub control, ceea ce permite formarea unei gingii mai stabile în jurul implantului. În cazul provizoriilor prefabricate, această finețe se pierde, iar riscul de iritații sau dezechilibre estetice crește atunci când forma nu se potrivește situației clinice.
Un alt aspect important ține de modul în care restaurarea provizorie influențează igienizarea și menținerea unui mediu biologic sănătos. O conturare corectă asigură accesul facil pentru igienă și previne acumularea de biofilm, ceea ce ajută țesutul moale să formeze o barieră stabilă în jurul implantului. În schimb, un contur neadaptat poate suprasolicita zona cervicală și poate declanșa inflamații locale, fenomen descris inclusiv în articolele care analizează profilul de emergență.
În final, provizoriul devine un element activ în procesul de vindecare. Felul în care este conceput și ajustat influențează direct relieful gingival, iar stabilitatea finală a țesutului depinde în mare măsură de această etapă inițială. Prin modul în care este construit și ajustat, provizoriul contribuie la formarea unui contur stabil, capabil să susțină ulterior restaurarea definitivă în condiții predictibile.
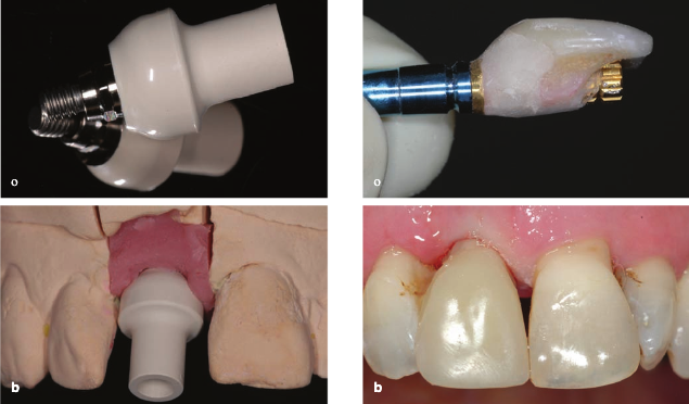
Tipurile de restaurări provizorii: cum le alegem în implantologia imediată
Alegerea tipului de provizoriu depinde de arhitectura locală, de forma alveolei, de stabilitatea primară a implantului și de fenotipul gingival. În literatura de specialitate se descriu mai multe variante, fiecare cu avantaje și limitări. Provizoriile prefabricate pot fi utilizate cu succes în anumite cazuri, dar studiile incluse în sursele de bază indică o favorizare a restaurărilor personalizate în contextul implantării imediate, datorită capacității lor de a controla precis emergența.
Restaurările provizorii prefabricate pot oferi o soluție rapidă în situațiile în care nu este necesară o modelare complexă a gingiei. Totuși, în zonele frontale, unde conturul estetic depinde în mare măsură de relația dintre implant și profilul de emergență, literatura arată preferința pentru provizorii personalizate, realizate în aceeași sesiune în cabinet sau preparate în laborator, deoarece oferă un control precis asupra formei cervicale. Această abordare permite o adaptare fidelă la situația clinică și corecții progresive în primele săptămâni.
Progresele tehnologice au permis realizarea provizoriilor prin tehnici CAD-CAM, care oferă o predictibilitate mare a formei și o acuratețe ridicată. Studiile publicate în SciSpace arată că aceste soluții pot reproduce cu fidelitate conturul dorit, facilitând o adaptare biologică optimă. Totuși, succesul lor depinde de modul în care clinicienii controlează volumul, emergența și contactul cu țesutul moale.
Alegerea restaurării provizorii ține atât de particularitățile tehnice ale cazului, cât și de evaluarea biologică a pacientului. Fenotipul gingival, arhitectura alveolară și nivelul de suport vestibular sunt elemente care pot orienta clinicianul spre o soluție prefabricată, custom sau realizată CAD-CAM. Toate aceste decizii trebuie aliniate la ceea ce literatura consideră predictibil în contextul implantologiei imediate.

sursa foto: researchgate
Strategii clinice pentru menținerea țesutului moale după implantarea imediată
Stabilitatea țesutului moale în implantarea imediată este rezultatul unor decizii clinice care se leagă între ele încă de la momentul extracției și continuă pe tot parcursul vindecării. Literatura arată că primele săptămâni reprezintă o perioadă în care gingia răspunde vizibil la variațiile de volum și presiune, iar restaurările provizorii devin un element activ al tratamentului.
Un aspect central al strategiei clinice este profilul de emergență și felul în care acesta reproduce arhitectura naturală a dintelui extras. Sursele dedicate implantologiei imediate descriu riscurile unei emergențe prea abrupte, care poate exercita presiune asupra papilelor, dar și riscurile unei tranziții prea înguste, asociate cu retracții sau modificări ale conturului vestibular. Ajustările realizate progresiv, în primele două până la patru săptămâni, permit menținerea unui echilibru între sprijinul oferit gingiei și evitarea supraîncărcării țesuturilor sensibile.
Controlul ocluzal face parte din același protocol. În situațiile în care implantul este încărcat imediat, provizoriul este menținut fără contacte ocluzale directe pentru a proteja stabilitatea inițială. Zona trebuie ferită de micro-mișcări inutile, iar restaurările provizorii au rolul de a proteja implantul în această etapă delicată, nu de a-l solicita suplimentar.
Un alt element esențial este menținerea unui mediu biologic curat. Studiile care analizează conturul restaurărilor arată că suprafețele netede și marginile bine finisate reduc acumularea de biofilm în zona periimplantară, ceea ce permite gingiei să formeze o barieră stabilă. Atunci când forma provizoriului nu este controlată atent, se observă o incidență mai mare a iritațiilor locale și o tendință a țesuturilor de a reacționa nefavorabil.
În esență, strategiile care au demonstrat cea mai bună predictibilitate sunt cele în care restaurarea provizorie este folosită ca instrument terapeutic, capabil să ghideze vindecarea, să protejeze implantul și să susțină formarea unui contur gingival stabil și coerent.
Stabilitatea pe termen lung a țesutului gingival în contextul implantologiei imediate depinde de coerența tuturor etapelor clinice, de la extracție până la momentul în care restaurarea provizorie permite gingiei să capete un contur predictibil. În ultimele două decenii, literatura clinică a arătat constant că restaurările provizorii joacă un rol activ în organizarea arhitecturii periimplantare și pot influența felul în care se stabilizează țesuturile moi. Felul în care gingia se adaptează la un profil de emergență personalizat, modul în care sunt controlate presiunea și volumul provizoriului, precum și protejarea implantului printr-o încărcare ocluzală atent gestionată sunt factori care pot modifica semnificativ evoluția cazului.
Aceste principii devin cu atât mai importante în zona estetică, acolo unde fiecare detaliu contează. Integrarea restaurărilor provizorii în planul terapeutic încă din faza inițială oferă clinicianului posibilitatea de a ghida vindecarea într-o direcție previzibilă, bazându-se pe înțelegerea biologică a proceselor tisulare și pe tehnici validate în literatura recentă.
Pentru medicii interesați să aprofundeze aceste concepte și să le aplice într-un cadru clinic riguros, echipa 32Academy vă invită la Module 1: Extraction Site Management din cadrul programului Salama Mastership, susținut de Dr. Snjezana Pohl.
Bibliografie: pmc.ncbi.nlm.nih.gov, researchgate.net