În practica stomatologică apar frecvent situații în care extracția unui dinte reprezintă doar începutul unei etape complexe de tratament. Cazurile în care pereții alveolari sunt distruși parțial sau complet, în care infecția a afectat conturul osos vestibular sau în care pacientul își dorește o soluție estetică imediată ridică provocări reale pentru clinician. Reconstrucția alveolei, menținerea volumului osos și restabilirea profilului gingival într-o singură etapă au fost mult timp considerate obiective greu de atins. Evoluția conceptelor biologice și introducerea tehnicii Immediate Dentoalveolar Restoration (IDR) au schimbat însă această perspectivă.
Tehnica IDR a fost dezvoltată pentru a oferi o soluție predictibilă în cazurile unde procedurile convenționale presupuneau tratamente în mai multe etape sau augmentări întârziate. Conceptul de restaurare imediată a unei alveole compromise, cu inserarea implantului și reconstrucția simultană a defectului bucal, a fost inițial privit cu prudență. Totuși, numeroase studii clinice și experiența acumulată în ultimul deceniu au demonstrat că, aplicată corect, tehnica IDR oferă rezultate biologice stabile și o estetică gingivală predictibilă.
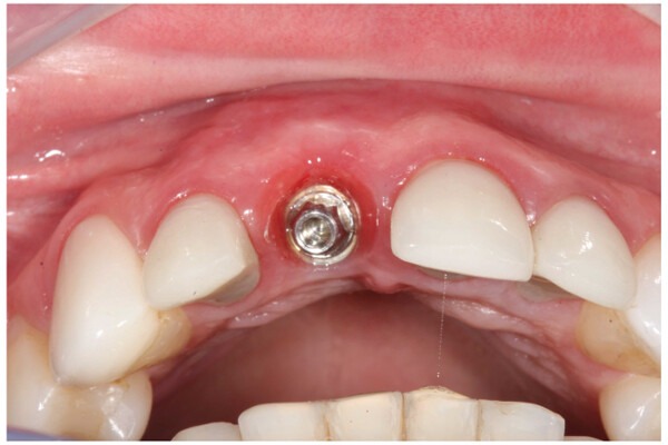
Principiul pe care se bazează tehnica este simplu și bine fundamentat biologic. În loc să se aștepte regenerarea naturală a osului după extracție, medicul reconstruiește imediat peretele bucal pierdut, utilizând un bloc osos autolog subțire, prelevat preponderent din tuberozitatea maxilară, adaptat exact conturului alveolar. Implantul este inserat în aceeași etapă, iar restaurarea provizorie contribuie la protejarea țesuturilor și la menținerea profilului de emergență. În acest mod, se realizează într-o singură intervenție ceea ce, în mod tradițional, necesita luni de vindecare și mai multe proceduri succesive.
În continuare, vom analiza principiile biologice care stau la baza acestei metode, indicațiile clinice în care tehnica IDR poate fi aplicată cu succes, precum și limitele pe care este important să le avem în vedere pentru a asigura rezultate funcționale și estetice stabile pe termen lung.
Fundamentul biologic al tehnicii IDR
Pentru a înțelege logica tehnicii IDR, este important de analizat procesele biologice care au loc în osul alveolar imediat după extracție. Pierderea dintelui declanșează o serie de modificări structurale și funcționale ce afectează stabilitatea crestei. În special, peretele vestibular, format dintr-un os cortical subțire și dens, este predispus la resorbție rapidă, iar consecința este reducerea volumului osos și colapsul țesuturilor moi.
Într-o alveolă compromisă, unde distrucția vestibulară este deja prezentă, aceste procese se accelerează. Regenerarea spontană este limitată, iar volumul pierdut nu se mai reface complet. În astfel de condiții, implantarea imediată fără o intervenție reconstructivă suplimentară nu ar asigura o bază biologică suficientă pentru stabilitate și estetică.

Tehnica IDR abordează această problemă printr-un mecanism biologic direct: reconstituie arhitectura alveolară în același moment cu extracția și inserarea implantului. Blocul osos autolog este prelevat preponderent din tuberozitatea maxilară, iar în funcție de anatomie pot fi luate în considerare și alte zone donatoare. Acesta are o grosime de aproximativ 1 mm, o plăcuță corticală subțire, adaptată morfologiei defectului, care funcționează ca o barieră biologică menită să protejeze cheagul, să stabilizeze conturul osos și să creeze spațiul necesar osteogenezei.
În paralel, implantul inserat imediat joacă un rol biomecanic esențial. El conferă stabilitate ansamblului restaurat și menține un stimul biologic local care favorizează remodelarea și integrarea osoasă. În absența acestui suport, procesul de vindecare ar fi imprevizibil, iar riscul de colaps vestibular mult mai mare.
Restaurarea provizorie imediată completează acest sistem integrativ. Ea nu are doar un rol estetic, ci și unul protector, asigurând menținerea profilului de emergență și ghidând vindecarea țesuturilor moi. În această etapă, se obține echilibrul dintre stabilitatea mecanică, stimulul biologic și protecția gingivală, o triadă care definește succesul tehnicii IDR.
Studiile histologice au confirmat ulterior eficiența acestui mecanism: blocul osos autolog se integrează complet cu osul receptor, iar structura finală prezintă o continuitate tisulară fără linii de separație între cele două segmente. Această integrare perfectă explică de ce volumul vestibular și nivelul marginal osos rămân stabile pe termen lung.
Prin urmare, baza biologică a tehnicii IDR se sprijină pe un principiu simplu, dar solid: restaurarea imediată a peretelui vestibular și menținerea unui mediu stabil pentru regenerare duc la o vindecare predictibilă, cu rezultate estetice comparabile cu cele ale dinților naturali.

sursa foto: https://onlinelibrary.wiley.com/doi/full/10.1155/2018/1672170
Indicațiile și limitele clinice ale tehnicii IDR
Selectarea corectă a cazului este etapa decisivă care determină succesul aplicării tehnicii IDR. Deși este o metodă versatilă, cu rezultate foarte bune în numeroase scenarii clinice, eficiența sa depinde de integritatea țesuturilor restante și de respectarea unor criterii biologice bine stabilite.
Tehnica IDR este indicată în primul rând în tratamentul alveolelor compromise, adică al acelor situații în care există o pierdere parțială sau totală a peretelui vestibular, dar se păstrează o porțiune apicală suficientă pentru obținerea stabilității primare a implantului. Acesta este scenariul clasic în care metoda a fost dezvoltată și în care oferă cea mai mare predictibilitate.
Un exemplu frecvent îl reprezintă cazurile de infecții cronice apicale, fracturi radiculare sau leziuni de resorbție, unde, după îndepărtarea dintelui, osul vestibular se găsește subțiat sau perforat. Dacă zona este debridată complet și se obține un pat tisular sănătos, reconstrucția imediată a peretelui bucal cu un bloc autolog devine o soluție viabilă. În aceste condiții, implantul poate fi inserat în aceeași etapă, iar restaurarea provizorie menține arhitectura gingivală și profilul de emergență.
În literatura de specialitate sunt menționate și alte contexte favorabile aplicării tehnicii. Una dintre cele mai importante este zona estetică anterioară, unde menținerea volumului vestibular și a conturului gingival are un impact direct asupra rezultatului final. IDR oferă aici avantaje evidente față de procedurile de augmentare întârziată: reconstrucția și implantarea se realizează într-o singură intervenție, iar forma naturală a crestei se păstrează mult mai bine în timp.
Totuși, nu toate cazurile sunt potrivite pentru aplicarea acestei metode. În prezența unei pierderi osoase extinse, când toți pereții alveolari sunt distruși, sau când există infecții acute active, IDR nu poate oferi stabilitatea biologică necesară. În aceste situații, procedurile în etape, cu regenerare ghidată și implantare întârziată, rămân opțiunea sigură.
La fel, lipsa stabilității primare a implantului reprezintă o limită clară a tehnicii. Fără un ancoraj apical ferm, sistemul os-bloc-implant nu poate funcționa ca un ansamblu stabil. În astfel de cazuri, riscul de microdeplasare și de resorbție precoce a blocului osos este semnificativ.
De asemenea, este necesară o atenție sporită în cazul pacienților cu factori de risc sistemici: fumat intens, diabet necontrolat, tratamente medicamentoase care afectează metabolismul osos. Acești pacienți pot prezenta o capacitate redusă de vindecare, iar rezultatele devin mai puțin previzibile.
O altă limitare o reprezintă defectele de dimensiuni mari, care depășesc capacitatea de acoperire a unui singur bloc cortical. În astfel de situații, riscul de necroză a grefei crește, iar alternativa unei augmentări verticale sau orizontale etapizate poate fi mai sigură.
Prin urmare, aplicarea tehnicii IDR necesită o evaluare atentă a fiecărui caz: starea țesuturilor moi, gradul de pierdere osoasă, existența suportului apical și sănătatea generală a pacientului. Literatura de specialitate raportează rezultate clinice stabile din punct de vedere estetic și osos, confirmate pe urmăriri de până la 58 de luni în cazuri selecționate corect.
Limitele metodei nu îi diminuează valoarea, ci subliniază necesitatea unui diagnostic corect și a unei planificări riguroase. IDR nu înlocuiește celelalte tehnici de regenerare osoasă, ci le completează, oferind o opțiune rapidă și predictibilă în cazurile selectate corespunzător.

sursa foto: https://onlinelibrary.wiley.com/doi/full/10.1155/2018/1672170
Avantajele clinice și impactul estetic al tehnicii IDR
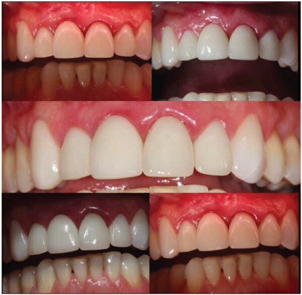
Succesul unei restaurări implantare nu se măsoară doar prin integrarea osoasă a implantului, ci și prin capacitatea de a reda pacientului o arhitectură gingivală naturală și o estetică armonioasă. În special în zona frontală maxilară, unde cerințele estetice sunt ridicate, menținerea conturului vestibular și a papilelor interdentare devine la fel de importantă ca stabilitatea biologică.
Prin concepția sa, tehnica IDR adresează simultan aceste două dimensiuni: funcțională și estetică. Unul dintre principalele avantaje clinice ale metodei este conservarea volumului alveolar. Prin restaurarea imediată a peretelui vestibular cu o plăcuță corticală subțire, osul este protejat de resorbția accelerată care apare în mod obișnuit după extracție. Blocul autolog fixat în poziție funcționează ca o barieră biologică, menținând spațiul necesar regenerării și păstrând conturul natural al crestei.
Această reconstrucție imediată are efecte directe asupra vindecării. Spre deosebire de augmentările întârziate, unde regenerarea se desfășoară sub o membrană pasivă, IDR permite formarea unui os nou într-un mediu stabil și bine vascularizat, în contact direct cu grefa corticală. Studiile histologice au demonstrat o integrare completă a blocului autolog și o maturare osoasă comparabilă cu cea a osului nativ, chiar și în defecte vestibulare moderate
Un alt beneficiu major îl reprezintă reducerea duratei tratamentului. Prin combinarea extracției, reconstrucției și inserării implantului într-o singură etapă, se elimină perioadele lungi de vindecare specifice procedurilor convenționale. Pentru pacient, acest lucru înseamnă mai puține intervenții și o recuperare mai rapidă. Pentru clinician, avantajul constă în controlul complet asupra procesului și în posibilitatea de a planifica protetic din prima etapă.
Restaurarea provizorie imediată are la rândul ei un rol decisiv. Pe lângă valoarea estetică, ea contribuie la modelarea țesuturilor moi, menținând forma gingiei și ghidând vindecarea în jurul implantului. Prin acest mecanism, IDR oferă o tranziție naturală între implant și restaurarea finală, evitând retracțiile sau colapsul papilar care pot apărea după procedurile convenționale.
Tehnica IDR permite obținerea unei linii gingivale stabile și a unui profil de emergență care imită fidel dintele natural. În numeroase cazuri, diferența vizuală dintre un implant restaurat prin IDR și un dinte natural devine greu de observat. Această continuitate morfologică este una dintre cele mai apreciate caracteristici ale tehnicii, mai ales în restaurările unitare din zona anterioară.
Un alt aspect adesea menționat de clinicieni este predictibilitatea pe termen lung. Menținerea volumului osos vestibular reduce riscul de resorbție marginală, iar stabilitatea țesuturilor moi minimizează necesitatea intervențiilor de corecție ulterioare. Toate aceste elemente contribuie la un tratament mai eficient și la satisfacția pacientului, fără compromisuri între estetică și funcționalitate.
În concluzie, avantajele clinice ale tehnicii IDR derivă din modul în care aceasta sincronizează procesele biologice de vindecare cu cerințele estetice ale restaurării. Prin refacerea imediată a peretelui vestibular, inserarea implantului și protejarea conturului gingival, medicul obține un rezultat stabil, integrat și natural, o abordare care răspunde atât nevoilor biologice, cât și celor estetice ale pacientului modern.
Aplicarea cu succes a tehnicii depinde însă de selecția corectă a cazului și de o înțelegere profundă a principiilor biologice implicate. De la evaluarea clinică până la adaptarea blocului osos autolog și restaurarea provizorie imediată, fiecare etapă contribuie la rezultatul final. Experiența și precizia clinicianului sunt factori esențiali în transformarea unui caz complex într-un rezultat stabil și estetic.
Pentru medicii care doresc să aprofundeze această tehnică și să o integreze corect în practica lor, echipa 32Academy pune la dispoziție cursul Immediate Dentoalveolar Restoration, susținut de Dr. José Carlos Martins da Rosa, autorul și promotorul conceptului IDR.
Bibliografie: onlinelibrary.wiley.com, researchgate.net, pmc.ncbi.nlm.nih.gov