Tehnologia laser este prezentă în stomatologie de peste șase decenii, însă abia în ultimele două decenii integrarea sa clinică a devenit constantă, odată cu dezvoltarea unor sisteme capabile să interacționeze predictibil atât cu țesuturile dure, cât și cu cele moi. Evoluția acestor tehnologii a coincis cu orientarea tot mai clară a stomatologiei moderne către tratamente minim invazive, control biologic mai bun al vindecării și reducerea disconfortului pacientului, obiective care au stimulat interesul pentru utilizarea unui laser stomatologic în numeroase protocoale terapeutice.
Contextul clinic actual justifică această evoluție. Cariile dentare, bolile parodontale și patologiile mucoasei orale continuă să afecteze o mare parte a populației la nivel global, necesitând strategii terapeutice care să combine prevenția, diagnosticul precoce și tratamente eficiente pe termen lung. În acest cadru, diferitele tehnici cu laser stomatologic au demonstrat capacitatea de a contribui atât la controlul contaminării bacteriene, cât și la optimizarea intervențiilor chirurgicale și restaurative, prin reducerea traumatismului tisular și îmbunătățirea proceselor de vindecare.
Principiul de funcționare al laserului, bazat pe absorbția selectivă a energiei luminoase de către diferiți cromofori tisulari, permite clinicianului să adapteze intervenția în funcție de structura tratată și de obiectivul biologic urmărit. Astfel, laserele pot fi utilizate pentru remodelarea gingivală, decontaminarea pungilor parodontale, prepararea minim invazivă a cavităților, tratamente endodontice adjuvante sau proceduri chirurgicale cu sângerare redusă și recuperare accelerată.
Beneficiile clinice depind însă de modul în care tehnologia este integrată în protocoale validate și de înțelegerea corectă a indicațiilor și limitelor sale. În continuare, articolul analizează modul de funcționare al unui laser stomatologic, principalele aplicații clinice actuale și mecanismele biologice care susțin utilizarea acestor tehnologii în practica stomatologică modernă
Cum funcționează un laser stomatologic și câte tipuri există?
Funcționarea unui laser stomatologic se bazează pe generarea unei lumini monocromatice și coerente, capabile să transporte energie concentrată către țesuturile țintă într-un mod controlat. Sistemul include o sursă de energie, un mediu activ în care are loc amplificarea luminii și o cavitate optică ce permite acumularea și eliberarea fasciculului sub forma unei radiații focalizate.
În laserele utilizate în stomatologie, energia este transmisă de la sursa laser către țesutul țintă prin intermediul fibrelor optice, al ghidurilor de undă sau al brațelor articulate, sistemul fiind completat de lentile de focalizare, mecanisme de răcire și unități de control care permit reglarea precisă a parametrilor de lucru. Lungimea de undă și proprietățile fasciculului sunt determinate în principal de compoziția mediului activ, care poate fi un gaz, un cristal sau un semiconductor în stare solidă.
La contactul cu țesutul, energia poate fi reflectată, transmisă, împrăștiată sau absorbită. Absorbția este cea care produce efectul clinic dorit, iar aceasta depinde de cromoforii tisulari, în special apa, hemoglobina, melanina și hidroxiapatita. Creșterea temperaturii locale poate conduce la vaporizarea apei și la ablația țesutului, la coagularea proteinelor sau la efecte fotochimice utile în decontaminare și stimularea proceselor de vindecare. Parametrii incorecți pot genera supraîncălzire și carbonizare tisulară, motiv pentru care utilizarea corectă a diferitelor tehnici cu laser stomatologic presupune înțelegerea modului în care fiecare lungime de undă interacționează cu structurile tratate.
Principalele tipuri de lasere utilizate în stomatologie
Laserele utilizate în practica stomatologică pot fi clasificate în funcție de mediul activ care generează fasciculul, domeniul de aplicare clinică și intervalul de lungimi de undă utilizat. Astfel, există sisteme destinate în principal intervențiilor asupra țesuturilor moi, altele concepute pentru lucrul pe țesuturi dure dentare, precum și echipamente versatile care pot fi integrate în ambele tipuri de proceduri.
- Laserul cu dioxid de carbon (CO₂) are o absorbție foarte mare în apă, ceea ce îl face eficient în chirurgia țesuturilor moi. Permite incizii curate și control bun al sângerării, cu o zonă redusă de afectare termică. Dimensiunea echipamentului și costurile ridicate au limitat însă utilizarea sa curentă în cabinetele dentare.
- Laserul Nd:YAG are energia absorbită puternic de țesuturile pigmentate, ceea ce îl face eficient pentru incizii și coagulare în chirurgia gingivală. Este frecvent utilizat și ca adjuvant în terapiile parodontale, datorită efectului bactericid și capacității de decontaminare a pungilor parodontale.
- Laserele din familia Erbium (Er:YAG și Er,Cr:YSGG) prezintă o absorbție ridicată atât în apă, cât și în hidroxiapatită, fiind printre cele mai versatile sisteme. Sunt utilizate în tratamentul țesuturilor dure, în preparări minim invazive și proceduri restaurative, dar pot fi aplicate și asupra țesuturilor moi, datorită conținutului ridicat de apă al acestora.
- Laserul cu diodă este unul dintre cele mai răspândite sisteme datorită dimensiunii reduse și costurilor mai accesibile. Energia este absorbită în principal de hemoglobină și melanină, fiind utilizată în remodelări gingivale, frenectomii, tratamentul leziunilor mucozale și în protocoale de stimulare a vindecării postoperatorii.
Alegerea tipului de laser stomatologic potrivit este influențată de capacitatea fiecărei lungimi de undă de a fi absorbită de cromoforii tisulari specifici și de efectul biologic urmărit în timpul intervenției clinice.

sursa foto: PMC3700144
Proceduri stomatologice comune care utilizează laser stomatologic
Tehnologia laser este folosită în stomatologie pentru intervenții pe țesuturi moi și dure, cu un control bun al manoperelor și o precizie ridicată. Începând cu anii 1990, utilizarea unui laser stomatologic a crescut constant, odată cu observația că poate reduce disconfortul postoperator și poate îmbunătăți experiența pacientului în anumite proceduri.
Un avantaj important este capacitatea de a realiza secțiuni precise, cu afectare minimă a structurilor adiacente. În multe situații, recuperarea este mai rapidă, cu mai puțină inflamație și edem. Pentru unele manopere, un laser stomatologic poate reduce nevoia de anestezie locală, iar absența vibrațiilor și zgomotului specifice frezelor contribuie la un confort mai bun, mai ales la pacienții anxioși.
În chirurgie minim invazivă, laserul poate reduce sângerarea intraoperatorie și disconfortul postoperator. În plus, contribuie la o vizibilitate mai bună a câmpului operator prin menținerea unui mediu mai uscat și mai curat în timpul intervenției, cu potențial de reducere a riscului de infecții postoperatorii.
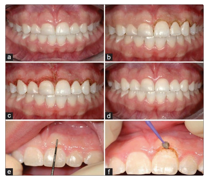
Chirurgie a țesuturilor moi
În chirurgia țesuturilor moi, laserul este utilizat pentru tăiere, vaporizare și coagulare, cu un control bun al sângerării și cu disconfort postoperator redus. Interacțiunea cu țesuturile moi este legată de absorbția energiei la nivelul apei și hemoglobinei.
Clinic, poate fi folosit în proceduri precum gingivectomii, frenectomii, îndepărtarea leziunilor mucoase și remodelarea țesutului gingival. În gingivectomie, laserul îndepărtează țesutul gingival în exces cu sângerare minimă, iar intervenția poate necesita mai puțină anestezie locală și poate avea un timp de recuperare mai scurt. Un element important este că, în timpul tăierii, laserul sigilează vasele mici de sânge și terminațiile nervoase, ceea ce poate reduce disconfortul postoperator și riscul de infecție.
Chirurgie a țesuturilor dure
În chirurgia țesuturilor dure, laserul este utilizat în proceduri care implică dinți și os, fiind menționate aplicații precum îndepărtarea cariilor, leziuni osoase și anumite intervenții parodontale. Popularitatea acestei utilizări a crescut datorită preciziei, reducerii durerii și timpului de recuperare mai scurt în unele cazuri.
Printre beneficii sunt menționate caracterul minim invaziv, nevoia redusă de anestezie în anumite situații, scăderea sângerării prin efectul de coagulare, riscul redus de infecții datorită proprietăților antimicrobiene și o vizualizare mai bună a câmpului de lucru prin menținerea unei zone mai uscate.
În același timp, există limitări importante: costul inițial ridicat, necesitatea instruirii specializate, aplicabilitate limitată în anumite proceduri, risc de leziuni termice dacă nu sunt utilizați corect parametrii și faptul că, în unele cazuri, procedura poate dura mai mult decât metodele convenționale. Este menționat și faptul că laserul nu este întotdeauna potrivit pentru îndepărtarea cariilor profunde sau pentru îndepărtarea anumitor restaurări.
Aplicații non chirurgicale și terapii adjuvante
Pe lângă intervențiile chirurgicale asupra țesuturilor moi și dure, utilizarea unui laser stomatologic include și o serie de aplicații non chirurgicale sau terapii adjuvante, integrate în protocoalele clasice de tratament. În aceste situații, laserul nu înlocuiește tehnicile convenționale, ci contribuie la optimizarea controlului infecției, la reducerea durerii și la susținerea proceselor de vindecare.
Terapia canalului radicular
În endodonție, laserul este utilizat ca instrument complementar pentru decontaminarea canalelor radiculare și reducerea încărcăturii bacteriene. Rolul său este acela de a susține protocolul convențional de tratament endodontic, contribuind la îmbunătățirea controlului microbiologic în zone greu accesibile instrumentației mecanice și irigației clasice.
Albirea dinților
În stomatologia estetică, laserul poate fi utilizat pentru accelerarea procesului de albire prin activarea agenților de albire aplicați pe suprafața dentară. În acest context, tehnologia este integrată ca parte a protocolului estetic, cu rolul de a susține eficiența procedurii și de a reduce durata tratamentului.
Managementul durerii și biostimulare
Terapia cu laser de intensitate scăzută este utilizată pentru reducerea durerii și stimularea proceselor de vindecare după diverse intervenții stomatologice. Această formă de utilizare, cunoscută ca fotobiomodulație, contribuie la diminuarea inflamației și la o recuperare mai rapidă, fiind aplicată frecvent în perioada postoperatorie sau în terapiile parodontale și implantare.
Tratamente parodontale
Laserul este inclus între opțiunile terapeutice utilizate în tratamentele parodontale, în special pentru reducerea încărcăturii bacteriene și susținerea vindecării țesuturilor parodontale. Utilizarea sa poate contribui la reducerea pungilor parodontale și la stimularea regenerării tisulare, fiind integrat ca metodă complementară procedurilor mecanice convenționale.
Tratamentul leziunilor orale și al afecțiunilor precanceroase
Laserul este utilizat pentru îndepărtarea leziunilor mucozale și în tratamentul anumitor afecțiuni cu potențial precanceros, oferind o ablație precisă a țesuturilor și un control bun al sângerării. Intervențiile sunt asociate cu cicatrizare minimă și cu un impact funcțional și estetic favorabil, datorită controlului tisular ridicat.
Privite în ansamblu, procedurile care utilizează tehnici cu laser stomatologic arată că această tehnologie și-a găsit locul în multiple etape ale tratamentului stomatologic, de la intervenții asupra țesuturilor moi și dure până la aplicații non chirurgicale și terapii adjuvante. Rezultatele clinice depind însă de selecția corectă a indicațiilor și de integrarea laserului într un protocol terapeutic coerent. În practica actuală, laserul reprezintă un instrument complementar valoros, capabil să optimizeze tratamentul atunci când este utilizat informat și corect.

sursa foto: PMC3700144
Avantajele și limitele utilizării laserului în practica stomatologică
Pe măsură ce tehnologia a devenit tot mai prezentă în cabinet, utilizarea unui laser stomatologic a fost asociată cu o serie de beneficii clinice legate de precizia intervențiilor și de confortul pacientului. În multe situații, integrarea laserului în protocoalele terapeutice permite intervenții mai controlate și o experiență clinică mai bine tolerată, atât în chirurgia țesuturilor moi, cât și în procedurile minim invazive sau terapiile adjuvante.
Principalele avantaje observate în practica clinică includ:
- Reducerea durerii și a disconfortului postoperator. Trauma tisulară mai redusă și controlul mai bun al intervenției fac ca unele proceduri să necesite cantități mai mici de anestezie locală, iar recuperarea să fie mai confortabilă pentru pacient, în special în cazul intervențiilor pe țesuturi moi.
- Sângerare intraoperatorie redusă. Laserul coagulează vasele mici de sânge în timpul manoperei, ceea ce permite un câmp operator mai curat și o vizibilitate mai bună pentru clinician, contribuind la desfășurarea mai controlată a intervenției.
- Risc redus de contaminare bacteriană. Efectul antimicrobian local al energiei laser contribuie la reducerea încărcăturii bacteriene în zona tratată, susținând vindecarea și diminuând riscul de complicații postoperatorii în anumite situații clinice.
- Vindecare mai rapidă și edem redus. Leziunile tisulare limitate și controlul inflamației pot contribui la timpi de recuperare mai scurți, aspect apreciat atât de pacienți, cât și de practicieni.
- Precizie crescută a manoperelor clinice. Fasciculul laser permite lucrul pe zone foarte restrânse, protejând structurile adiacente și facilitând realizarea unor intervenții minim invazive, cu conservarea maximă a țesuturilor sănătoase.
Cu toate acestea, utilizarea tehnologiei laser implică și anumite limitări care trebuie luate în considerare în practica zilnică:
- echipamentele au costuri inițiale ridicate, ceea ce poate limita accesul unor cabinete la această tehnologie;
- utilizarea sigură și eficientă necesită instruire specializată și familiarizare cu parametrii specifici fiecărui tip de laser stomatologic;
- nu toate procedurile pot fi realizate exclusiv cu laserul, iar în anumite situații instrumentele convenționale rămân mai rapide sau mai eficiente;
- utilizarea incorectă a parametrilor poate genera efecte termice nedorite asupra țesuturilor.

În acest context, integrarea eficientă a tehnologiei laser în practica clinică depinde în mod direct de formarea profesională a clinicianului. Pentru medicii care doresc să aprofundeze utilizarea clinică a acestor tehnologii, 32Academy pune la dispoziție un curs laser stomatologic: Post-Graduate Program in Advanced Laser Dentistry, care oferă un parcurs educațional internațional orientat spre aplicarea practică a tehnicilor cu laser stomatologic, de la fundamentele fizicii energiei fotonice până la integrarea completă în protocoalele clinice curente.
Prin combinarea sesiunilor teoretice bazate pe dovezi cu ateliere hands-on și analiză de cazuri, programul permite participanților să înțeleagă modul corect de selecție a tipului de laser stomatologic, setarea parametrilor și integrarea tehnologiei în diverse scenarii clinice, contribuind la creșterea siguranței și predictibilității tratamentelor realizate în cabinet.
După câteva decenii de dezvoltare și validare clinică, laserul stomatologic a devenit un instrument integrat în numeroase proceduri dentare, contribuind la intervenții mai precise și la un confort crescut pentru pacient.
Cercetările actuale continuă să extindă indicațiile clinice și să optimizeze protocoalele de utilizare, iar evoluția echipamentelor și integrarea tehnologiilor digitale vor face ca utilizarea laserului să fie tot mai frecventă în practica stomatologică, susținând tratamente mai eficiente și mai predictibile în anii următori.
Dacă îți dorești să aprofundezi utilizarea clinică a tehnologiei laser și să înțelegi cum pot fi integrate corect aceste protocoale în practica zilnică, cursul Post-Graduate Program in Advanced Laser Dentistry, organizat de 32Academy, oferă o abordare structurată și aplicată asupra stomatologiei asistate de laser. Susținut de Dr. Rita El Feghali, Dr. Krešimir Simunovic și Dr. Stefano Benedicenti, cursul combină fundamentele științifice cu aplicații clinice concrete, ajutând medicii să utilizeze tehnologia laser în condiții predictibile și sigure, pentru rezultate mai bune și experiențe mai confortabile pentru pacienți.
Bibliografie: pmc.ncbi.nlm.nih.gov, mdpi.com