1 Modul
2 zile
InterContinental Athénée Palace, București, România
Locație
Engleză
Limbă
6 -7 Noiembrie 2026
Data
25
Locuri
Operații live, ateliere practice, prelegeri
Inclusă
2 zile
Locație
Limbă
Data
Locuri
Inclusă
Acest curs este un program intensiv de 2 zile, axat pe chirurgia implantologică estetică contemporană și gestionarea complicațiilor implantare. Conceput pentru clinicieni cu experiență, programul îmbină dovezile științifice cu abordări chirurgicale practice, dovedite clinic.
Prin prelegeri susținute de experți, videoclipuri chirurgicale și instruire practică (hands-on), participanții vor explora tehnici moderne de augmentare a țesuturilor moi, gestionarea fenotipului peri-implantar, prevenirea complicațiilor și protocoale avansate de grefare. O atenție deosebită este acordată tehnicilor minim invazive și de tip tunel, reconstrucției papilei și cazurilor complexe de implanturi în zona anterioară.
Până la sfârșitul cursului, participanții își vor extinde setul de abilități chirurgicale, își vor perfecționa procesul decizional și vor câștiga încredere în oferirea unor rezultate estetice previzibile pe termen lung în jurul implanturilor.
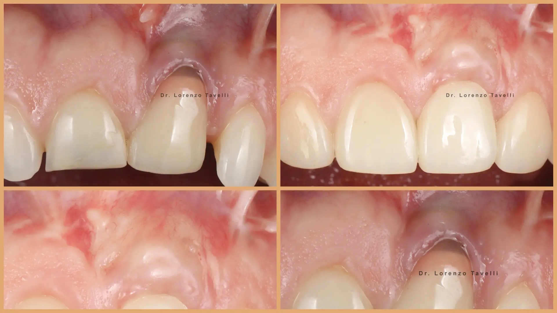
Implantologia estetică necesită mai mult decât precizie tehnică. Aceasta necesită o înțelegere profundă a biologiei, o execuție chirurgicală rafinată și capacitatea de a gestiona complicațiile cu încredere. Pe măsură ce așteptările cresc și cazurile devin tot mai complexe, clinicienii trebuie să își perfecționeze continuu abordarea pentru a obține rezultate stabile și cu aspect natural.
Acest curs de master este conceput pentru a răspunde acestei provocări — oferind o experiență de învățare imersivă, bazată pe dovezi, axată pe cele mai recente concepte și tehnici chirurgicale în implantologia estetică și gestionarea complicațiilor implantare.
Atelierele noastre practice oferă participanților oportunitatea de a exersa tehnici contemporane de augmentare a țesuturilor moi și de grefare, sub îndrumarea experților. Prin sesiuni etapizate, aliniate cu scenarii clinice reale, participanții vor perfecționa abordările minim invazive și cele de tip tunel, reconstrucția papilei, gestionarea țesutului moale peri-implantar.
Aceste sesiuni vizează consolidarea preciziei chirurgicale, a capacității de decizie și a încrederii în obținerea unor rezultate estetice predictibile.
Acest curs este conceput special pentru clinicienii care doresc să își perfecționeze expertiza în implantologia estetică. Programul integrează în mod unic dovezile științifice cu aplicațiile practice, oferind o perspectivă exclusivă asupra unor cazuri clinice complexe prezentate de Dr. Lorenzo Tavelli, ce oferă o viziune aprofundată asupra parcursului său chirurgical personal și modul în care se iau cele mai bune decizii. La finalul cursului, veți dobândi un arsenal chirurgical extins și abilitățile necesare pentru a gestiona chiar și cele mai provocatoare situații în implantologie!





Join us for a 2-day training with Dr. Marco Ronda about bone augmentation techniques, such as Guided Bone Regeneration (GBR), which allows for the restoration of lost volumes, thus enabling successful aesthetic and functional implant-prosthetic rehabilitation.
We are honored to bring exclusively to Europe the highly successful complete Implantology Mastership program lead by Prof. Maurice Salama - an exclusive journey for dental professionals who demand excellence, guided by world-renowned lecturers handpicked by prof. Salama.
Step into the world of innovative implantology with our Young Implantology Program! You will gain hands-on training with modern tools and technologies, learn advanced treatment planning strategies from our speakers and explore innovative prosthetic solutions.
Strada Căpitan Alexandru Șerbănescu 85, Sector 1, București, România
L - V: 09:30 AM - 06:00 PM
S - D: Închis